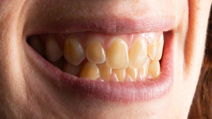
TRIBUNHEALTH.COM - Memiliki warna gigi kuning kerap dianggap kurang menarik karena mengganggu penampilan.
Pasalnya, tidak semua gigi kuning itu buruk karena pada dasarnya warna gigi setiap orang berbeda-beda.
Warna gigi kuning bukan berarti tidak menjaga kebersihan gigi dan mulut, namun beberapa orang memang memiliki warna gigi alami yang berupa warna gigi yang kekuningan.
Warna gigi sendiri dapat dipengaruhi oleh faktor ras, faktor internal dari gigi itu sendiri, dan juga faktor eksternal.
Baca juga: 5 Cara Merawat Sikat Gigi dengan Tepat, Pastikan Ganti Sikat Gigi Secara Berkala

Baca juga: Berapa Lama Sikat Gigi Boleh Digunakan dan Kapan Waktu yang Tepat untuk Menggantinya?
Dilansir TribunHealth dalam tayangan YouTube Tribun Health, Dokter Gigi dari RS Nirmala Suri Sukoharjo, drg. Dessy Putri Rahayu Ningrum memberikan penjelasan mengenai gigi berwarna kuning.
Sebelum membahas alasan warna gigi yang menguning, perlu Anda ketahui jika gigi terdiri dari beberapa lapis.
Gigi terdiri dari beberapa lapis, yang pertama adalah email gigi (paling luar), dentin (bagian tengah), kamar pulpa (bagian dalam atau tempat letaknya saraf).
Lantas kenapa warna gigi setiap orang bisa berbeda-beda?
drg. Dessy menjelaskan, warna gigi setiap orang berbeda-beda bisa disebabkan karena lapisan dentin pada gigi tersebut.
Seseorang yang memiliki dentin lebih tebal dari yang lainnya akan cenderung memiliki warna gigi yang lebih kuning dibandingkan dengan orang yang memiliki dentin tipis.
"Jadi lapisan yang bernama dentin itu ada pada beberapa orang yang cenderung lebih tebal."
"Dentin itu sendiri memiliki warna dasar yang lebih kekuningan, bisa jadi karena lapisan dentinnya tebal, warna gigi nya itu agak lebih kuning daripada individu yang lainnya," jelas drg. Dessy.
Baca juga: 5 Manfaat Lakukan Flossing Secara Teratur, Hilangkan Plak Gigi hingga Cegah Bau Mulut
Tak hanya karena faktor internal saja, warna gigi juga dapat dipengaruhi dari faktor eksternal.
Faktor eksternal yang menyebabkan perubahan warna gigi adalah kebiasaan makan dan minum.
Memiliki kebiasaan suka minum kopi dan teh akan berpotensi menyebabkan terjadinya perubahan warna pada gigi.
"Jadi faktornya ada yang internal dan eksternal, dari kebiasaan makan atau memang dari struktur giginya itu sendiri," kata drg. Dessy.
Kenapa dentin yang tebal menyebabkan warna gigi kuning?
Menurut penjelasan drg. Dessy, seseorang yang memiliki dentin tebal cenderung memiliki warna gigi yang lebih kuning karena terkadang lapisan email gigi pada orang tersebut cenderung transparan.
Sehingga, warna dentin yang kekuningan tersebut dapat tembus keluar yang akhirnya gigi terlihat lebih kuning.

Baca juga: Manfaat Jalan Kaki Setiap Hari dapat Menyembuhkan 9 Jenis Penyakit Ini
Warna Dentin dan Karang Gigi Berbeda
Lebih lanjut ada pertanyaan yang diajukan kepada drg. Dessy, apakah warna dentin berbeda dengan karang gigi?
drg. Dessy menturkan, warna dentin yang kekuningan tidak bisa disamakan dengan karang gigi.
Dentin terletak di permukaan gigi, sedangkan untuk karang gigi biasanya terletak di bagian leher gigi atau cenderung ke arah gusi.
"Dentin dengan karang gigi itu tetap berbeda, karena misalnya dentin ini letaknya benar-benar di permukaan gigi."
"Namun, untuk karang gigi itu sendiri letaknya di bagian leher-leher gigi dan cenderung ke arah gusi."
"Untuk dentin warnanya merata ke seluruh gigi, sedangkan karang gigi tidak merata ke seluruh gigi." terang drg. Dessy.
Baca juga: Manfaat Buah Ceri untuk Kesehatan, Memerangi Asam Urat hingga Mengelola Diabetes
Warna Gigi Kuning Disebabkan Oleh Genetik dan Obat-obatan
Tak hanya dentin tebal dan faktor eksternal, terjadinya warna gigi kuning juga disebabkan oleh faktor genetik dan konsumsi obat.
Ketika seorang ibu yang hamil rutin mengonsumsi antibiotik saat kehamilan berlangsung, hal ini juga bisa menyebabkan warna gigi pada anaknya menjadi kuning.
"Memang ada beberapa kelainan gigi yang bisa menyebabkan warna gigi berbeda dengan orang pada umumnya."
"Ibu hamil yang sering konsumsi antibiotik, nanti giginya di bagian email atau dentin tidak berkembang sempurna," tutur drg. Dessy.
Permasalahan gigi kuning dapat dilakukan perawatan untuk mencerahkan warna gigi tersebut.
Kendati demikian, warna gigi kuning yang terjadi karena kelainan genetik atau karena konsumsi obat, biasanya akan cenderun berwarna abu-abu, biru, atau cokelat, sehingga sudah tidak bisa dicerahkan.
"Kalau ditemui kasus kelainan gentik atau karena konsumsi obat, sudah tidak bisa dicerahkan, karena biasanya relatif lebih sensitif."
"Warna gigi yang berubah karena perkembangan email atau dentin yang tidak sempurna bisa menyebabkan gigi rentan berlubang, struktur tidak sempurna dan bisa menyebabkan gigi cenderung sensitif," ungkap drg. Dessy.
Baca juga: Efek Terlalu Banyak Makan Roti, Salah Satunya Tingkatkan Kadar Gula Darah
Penjelasan tersebut disampaikan oleh Dokter Gigi dari RS Nirmala Suri Sukoharjo, drg. Dessy Putri Rahayu Ningrum dalam tayangan YouTube Tribun Health.
Berikut ini terdapat produk yang dapat mencerahkan warna gigi, klik di sini untuk mendapatkannya.
Baca berita lain seputar kesehatan di sini
(Tribunhealth.com/IR)