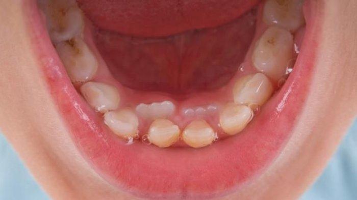
TRIBUNHEALTH.COM - Crowding adalah suatu istilah yang umum di dalam bidang kedokteran gigi untuk menggambarkan keadaan gigi yang berjejal atau bertumpuk.
Salah satu penyebab gigi berjejal bisa berasal dari kombinasi genetik.
Penyebab lain ialah akibat dilakukan pencabutan gigi susu terlalu dini, jauh sebelum gigi tetap pengganti dibawahnya muncul.
Umumnya seseorang yang memiliki gigi crowding berusaha mengatasinya dengan perawatan kawat gigi atau bahkan ada yang melakukan treatment veneer.
Namun pemasangan veneer pada gigi crowding memiliki batasan, yaitu tidak lebih dari 6 derajat anomali yang dialami.
Baca juga: Mengenal Definisi Reumatik hingga Ciri-ciri Reumatik Tulang Menurut Pemaparan dr. Lisa Kurnia Sari

Baca juga: Adakah Gejala Spesifik dari Kolesterol Tinggi? Berikut Penjelasan dr. Evi Novitasari
Karena apabila melebihi 6 derajat, dokter gigi akan menyarankan untuk dilakukan perawatan ortodonti terlebih dahulu sebelum veneering.
Penjelasan ini disampaikan oleh Dokter Gigi, drg. R. Ngt. Anastasia Ririen Pramudyawati yang dilansir oleh Tribunhealth.com dalam tayangan YouTube Warta Kota Production program Sapa Dokter edisi 19 Agustus 2022.
Apabila dipaksakan menggunakan veneer tanpa melakukan perawatan ortodonti terlebih dahulu maka tidak sesuai dengan indikasinya.
"Nanti yang terjadi justru giginya tebal-tebal sekali, pasien merasakan bibirnya kaya ketebalan, kan tidak ideal gitu ya," ujar Dokter Gigi, drg. R. Ngt. Anastasia Ririen Pramudyawati.
Jika dilihat secara estetika, tampilan gigi akan tampak tidak ideal.
Hal ini tentu tidak sesuai dengan taraf ideal dalam bidang kedokteran gigi.
Baca juga: Berikut Anjuran yang Harus Ditaati Pasien untuk Mencegah Timbulnya Masalah setelah Implan Gigi

Baca juga: Identifikasi 4 Masalah Gizi yang Harus Segera Diatasi agar Prevalensi Stunting Menurun
"Karena tadi saya sebutkan kan tidak boleh lebih dari 6 derajat ya. Jadi gigi itu kembali ke aslinya, ke idealnya," terang Dokter Gigi, drg. R. Ngt. Anastasia Ririen Pramudyawati.
"Tapi apabila lebih dari itu idealnya dilakukan tindakan ortodonti terlebih dahulu," tutur Dokter Gigi, drg. R. Ngt. Anastasia Ririen Pramudyawati.
"Setelah itu misalkan ada mikrodonsia (gigi yang kecil-kecil atau semisal dia skema anterior dimana tidak bisa dimana giginya kebetulan ukurannya kecil dan tidak bisa dilakukan tindakan perapatan maka dilakukan veneering sehingga lebih indah, lebih harmonis dan secara estetika lebih sesuai dengan kaidah kedokteran estetika," tambah Dokter Gigi, drg. R. Ngt. Anastasia Ririen Pramudyawati.
"Kita mesti membedakan apakah ini kosmetis ataukah estetika," lanjut Dokter Gigi, drg. R. Ngt. Anastasia Ririen Pramudyawati.
Menurut drg. R. Ngt. Anastasia Ririen Pramudyawati, apabila kosmetis acap kali tidak sesuai dengan kaidah yang ideal.
Baca juga: Pentingnya Makan menggunakan Tangan Dibanding Sendok, Ketahui dari Dr. drg. Munawir H. Usman, S.KG

Baca juga: Tidak Semua Penyakit Dapat Disembuhkan dengan Antibiotik, Pemberian Obat Disesuaikan Penyebabnya
"Kalau kosmetis kan seperti sesuatu yang ditambahkan kadang-kadang tidak sesuai dengan kaidah estetika," ungkap Dokter Gigi, drg. R. Ngt. Anastasia Ririen Pramudyawati.
Baca juga: Gunakan Sikat Gigi dengan Bulu yang Lembut, Ketahui Alasannya dari drg. R. Ngt. Anastasia Ririen
Penjelasan Dokter Gigi, drg. R. Ngt. Anastasia Ririen Pramudyawati dilansir oleh Tribunhealth.com dalam tayangan YouTube Warta Kota Production program Sapa Dokter edisi 19 Agustus 2022.
(Tribunhealth.com/DN)
Baca berita lain tentang kesehatan di sini.