TRIBUNHEALTH.COM - Tentunya kita sudah tidak asing mendengar veneer dan bleaching yang saat ini diminati oleh orang-orang.
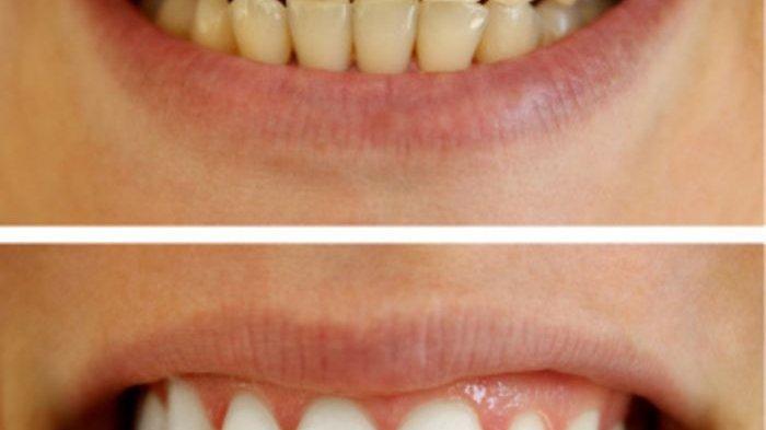
Bleaching harus dilakukan sekali saja dan sudah menampakkan hasil yang mendekati gigi asli atau perlu dilakukan pengulangan?
drg. Anastasia menjelaskan, meskipun sederhana bahan kimia yang digunakan bisa memicu iritasi jaringan lunak termasuk risiko pada jaringan keras gigi.
Pada kondisi yang over atau berlebihan bisa memicu kejadian erosi.
Itulah mengapa tidak boleh sembarangan melakukan bleaching gigi.
Dapatkan produk yang membantu menjaga kesehatan gigi anda dengan klik link berikut.

Baca juga: drg. R. Ngt Anastasia Jelaskan Perbedaan Veneer dan Bleaching Gigi, Berikut Penjelasannya
Sekarang terdapat bleaching gigi yang bisa dilakukan di rumah, itu hanya boleh dilakukan apabila dalam pengawasan dokter gigi berkompeten.
drg. Anastasia secara pribadi tidak menyarankan membeli bleaching gigi secara bebas dan melakukannya sendiri tanpa pengawasan dokter.
Karena material yang digunakan adalah material yang cukup keras.
Biasanya material yang digunakan adalah hidrogen perioksida dan karbamid periksida, jika dilakukan di klinik atau oleh dokter biasanya pada konsentrasi 15 hingga 38 persen.
Sementara jika dilakukan di rumah, biasanya pada konsentrasi antara 3 sampai 10 persen itu pun harus dengan pengawasan dokter.
Artinya, pelaksanaan berapa kali, durasi berapa lama, kapan dilakukan kembali harus dengan pengawasan dokter.
Baca juga: Apakah Perawatan Bleaching Gigi Bisa Menyebabkan Hipersensitif Dentin? Begini Kata drg. Ummi Kalsum
Karena sebelum tindakan ini dilakukan, dokter wajib melakukan pemeriksaan secara menyeluruh.
drg. Anastasia mengatakan, tidak semua kasus bisa dilakukan tindakan bleaching.
Terdapat indikasi dan kontra indikasi, sama dengan veneering.
Bleaching dan veneer gigi sebenarnya adalah dua jenis tindakan yang berbeda.
Veneer atau disebut sebagai pelapisan gigi merupakan material pelapis yang sewarna dengan gigi dan diaplikasikan pada satu, sebagian gigi atau seluruh permukaan gigi yang mengalami kondisi kecacatan pada bagian email yang terjadi kondisi discolorisasi (perubahan warna) maupun kejadian kelainan bentuk untuk meningkatkan estetika maupun proteksi terhadap gigi.
Baca juga: Tak Semua Perubahan Warna Gigi Bisa Diatasi dengan Bleaching, Dokter Sebut Alasannya
Sementara, bleaching atau whitening teeth disebut juga sebagai upaya pemutihan gigi merupakan suatu cara penanggulangan perubahan warna yang minimal infasif dan tergolong tindakan konservatif dengan cara pemulihan kembali warna gigi, hinga mendekati warna gigi asli melalui proses kimiawi.
Tujuan dari bleaching ialah mengembalikan faktor estetika pasien secara sederhana tetapi efektif, dengan syarat bila tindakan scaling dan polishing tidak mereduksi kondisi discolorisasi atau perubahan warna yang sudah terjadi.
Ini disampaikan pada channel YouTube Warta Kota bersama dengan drg. R. Ngt. Anastasia Ririen Pramudyawati. Seorang dokter gigi.
(TribunHealth.com/Putri Pramesti Anggraini)