TAG
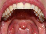
Infeksi Rongga Mulut
-
Jika tidak mengganti sikat gigi, hal ini dapat mempengaruhi kesehatan gigi dan menyebabkan infeksi pada rongga mulut.
Rabu, 19 Juli 2023
-
Menurut Dokter Gigi Spesialis Penyakit Mulut, drg. Erni Marlina, Sp.PM., Ph.D harus diwaspadai adanya kondisi sitemik yang tidak diketahui.
Minggu, 2 Juli 2023
-
Menurut Ddrg. Erni Marlina, Sp.PM., Ph.D salah satu yang dikhawatirkan dari infeksi jamur di mulut adalah terjadi kandidemia.
Rabu, 28 Juni 2023
-
Menurut Dokter Gigi Spesialis Penyakit Mulut, drg. Erni Marlina, Sp.PM., Ph.D anak mudah mengalami jamur karena kekebalan tubuhnya belum sempurna.
Selasa, 20 Juni 2023
-
Tanpa kita sadari, kebersihan rongga mulut yang tidak terjaga bisa memicu terjadinya infeksi.
Kamis, 18 Mei 2023
-
Infeksi rongga mulut disebabkan karena bakteri. Bakteri muncul karena kita tidak menjaga kebersihan rongga mulut dengan baik.
Rabu, 17 Mei 2023
-
Infeksi rongga mulut paling sering terjadi karena bakteri. Namun jangan sepelekan kondisi infeksi rongga mulut.
Selasa, 16 Mei 2023
-
Infeksi rongga mulut bisa terjadi karena bakteri. Maka dari itu sangat penting bagi kita untuk tetap menjaga kesehatan gigi dan rongga mulut.
Senin, 15 Mei 2023
-
Gigi berlubang atau yang kita sebutkan adalah karies itu salah satu contoh infeksi bakteri yang biasanya berlangsung secara jangka panjang.
Jumat, 12 Mei 2023
-
Seringkali kita menyepelekan kebersihan dan kesehatan rongga mulut. Padahal kesehatan rongga mulut yang tidak terjadga bisa menyebabkan infeksi.
Senin, 8 Mei 2023
-
Kesehatan rongga mulut tentu harus kita jaga dengan baik. Jika kesehatan rongga mulut tidak kita jaga, maka bisa berisiko terjadi infeksi.
Jumat, 28 April 2023
-
Penyebab infeksi rongga mulut yang sering terjadi ialah karena bakteri. Gigi berlubang merupakan salah satu contoh dari infeksi bakteri.
Kamis, 27 April 2023
-
Tanpa kita sadari sebenarnya mikroorganisme juga berada di dalam rongga mulut kita.
Senin, 24 April 2023
-
Menurut Dokter Gigi, drg. R. Ngt. Anastasia Ririen Pramudyawati infeksi yang dibiarkan berlarut bisa memicu terjadinya abses pada gusi.
Selasa, 24 Januari 2023
-
Erosi gigi merupakan proses kronis, kehilangan jaringan permukaan gigi yang bersifat irreversible artinya tidak bisa kembali secara spontan.
Minggu, 18 Desember 2022
-
Untuk mendeteksi infeksi rongga mulut, terdapat berbagai pemeriksaan yang bisa dilakukan.
Selasa, 22 November 2022
-
Meski merupakan penyakit serius pada rongga mulut, keadaan ini memiliki tanda yang kerap kali tak disadari masyarakat.
Sabtu, 19 November 2022
-
Tak hanya bisa berimbas mengakibatkan masalah pada jantung maupun paru, kebiasaan merokok bisa juga mencetuskan gigi berubah warna.
Sabtu, 19 November 2022
-
Berikut simak penjelasan drg. Erni Marlina, Sp.PM., Ph.D mengenai infeksi rongga mulut
Jumat, 18 November 2022
-
Berikut penanganan yang harus dilakukan jika alami tanda infeksi rongga mulut
Senin, 14 November 2022
© 2025 TRIBUNnews.com Network,a subsidiary of KG Media.
All Right Reserved
ip-10-0-131-147