TRIBUNHEALTH.COM - Karies pada gigi anak kerap kali dijumpai ketika sudah merusak gigi.
Padahal, karies bisa diamati sebelum berkembang menjadi lubang atau titik-titik hitam.
Lalu apa saja gejala awal karies pada gigi anak yang perlu diperhatikan orang tua?
TribunHealth.com pernah menanyakan hal ini kepada Dokter Gigi RSIS Yarsis Surakarta, drg. Tiaranita Ramadhani, ketika menjadi narasumber program Healthy Talk TribunHealth.com.
Berikut ini jawabannya dalam kutipan langsung:

Baca juga: Apakah Ada Istilah Stunting untuk Orang Dewasa yang Kurus dan Pendek? Ahli Gizi Menjawab
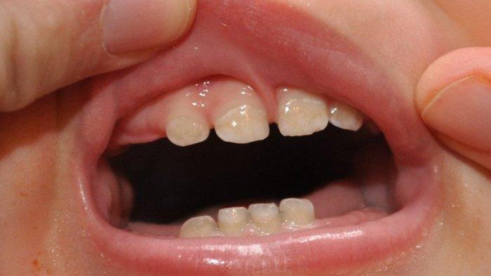
“Oke, jadi tanda-tanda awal karies itu bisa timbul bercak putih.
Jadi, permukaan gigi masih rata, tetapi ada bercak putih atau kita sebut dengan white spot, lalu dilanjutkan dengan permukaan gigi yang berkurang atau menjadi kasar, atau bisa juga membentuk cekungan dan berwarna cokelat.
Lalu, jika menjadi parah, biasanya karies itu menjadi warna hitam.
Ada juga yang kariesnya lubangnya menjadi besar, lalu menimbulkan tumbuh daging kecil.

Biasanya kita sebut polip.
Bila karies itu berlanjut lebih parah lagi, bisa karies hitam tadi itu menjadi parah, dan mahkota giginya itu biasanya habis, jadi tinggal sisa akar.
Atau ada yang lebih parah lagi menyebabkan infeksi.
Biasanya gusinya menjadi bengkak, yaitu berisi nanah. Biasanya seperti itu..”
Saksikan talk show selengkapnya mengenai “Mengatasi Karies Gigi pada Anak” bersama drg. Tiaranita Ramadhani dalam tayangan youtube berikut.