TRIBUNHEALTH.COM - Rampan karies dan karies botol adalah karies yang banyak dikeluhkan para ibu karena dialami oleh buah hati.
Karies botol dan rampan karies bisa lakukan pencegahan sejak anak lahir.
Membiasakan kebiasaan yang baik idealnya dilakukan sejak anak lahir dimulai dari kesadaran, pengetahuan dari orangtua terkait kesehatan gigi dan mulut bahkan tentang aspek-aspek yang menunjang agar apa yang biasa terjadi tersebut bisa dicegah.
Perlu sungguh-sungguh diketahui, dipahami dan disadari oleh kedua orangtua, termasuk semua pihak yang ada disekitar buah hati.
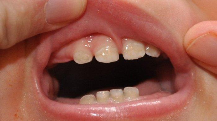
Struktur gigi anak-anak secara anatomis mirip dengan gigi dewasa, perbedaannya pada material pembentuknya.

Baca juga: Menkes Luncurkan Platform SatuSehat Guna Menciptakan 1 Data Kesehatan Nasional
Material lapisan enamel terluar gigi susu grade kerapatannya berbeda.
Itulah mengapa jika sudah sampai terjadi proses awal kejadian pelunakan pada enamel atau hancurnya lapisan pertama gigi, biasanya proses tersebut berlangsung sedemikian cepat karena kepadatannya berbeda.
drg. Anastasia menyampaikan, pada gigi susu lebih tidak rapat dibanding gigi permanen.
Itulah mengapa, kejadian rampan karies sedemikian cepat dialami oleh anak-anak.
Biasanya rampan karies dialami usia anak-anak hingga usia pergantian gigi.
Bahkan tidak hanya menimpa terkait gigi rahang-rahang atas tetapi juga pada gigi-gigi rahang bawah.
Baca juga: Kenal Lebih Jelas Bintitan Internal dan Eksternal yang Disampaikan dr. Rani Himayani Sp.M
Proses karies pada anak bisa dicegah, apabila kita sudah tau apa pemicu kejadian karies tentu kita menjadi lebih paham dan lebih mengerti bagaimana cara pencegahannya.
Salah satu yang lebih penting adalah bagaimana cara membersihkannya.
drg. Anastasia menyampaikan, membersihkannya dimulai sejak gigi mulai erupsi.
Erupsi gigi biasanya dimulai pada bayi berusia 6 bulan.
Tetapi melatihnya tidak dimulai sejak gigi erupsi, bahkan ketika gigi belum erupsi pun upaya melatih kebiasaan membersihkan rongga mulut idelanya sudah dilakukan sejak anak lahir.
Ini disampaikan pada channel YouTube Tribunnews bersama dengan drg. R. Ngt. Anastasia Ririen Pramudyawati. Seorang dokter gigi.
(TribunHealth.com/Putri Pramesti Anggraini)