TRIBUNHEALTH.COM - Selain gigi, ternyata kita juga harus memperhatikan kondisi kesehatan gusi sebagai jaringan lunak.
Beberapa orang meremehkan bahkan tidak memperhatikan kesehatan gusinya.
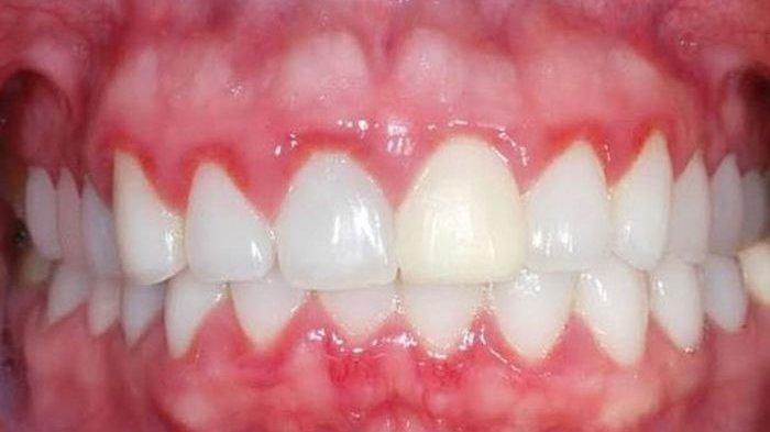
Kondisi gusi yang sehat bisa diketahui dari warnanya yang pink muda tetapi tidak pucat.
Jika kondisi gusi semakin lama berwarna lebih gelap dari warna biasaya, maka perlu dilihat anomali tersebut muncul belakangan atau sedari lahir.
Apabila perubahan warna gusi tersebut muncul belakangan, maka perlu diperhatikan apakah hal tersebut terjadi pada seluruh permukaan gusi atau hanya sebagian.
Jika perubahan warna pada gusi hanya sebagian, maka perlu diperhatikan bentuknya ataukah hanya sebatas warna atau juga terkait konsistensi.

Baca juga: Mengenal Tanda-tanda Radang Gusi, Guna Menghindari Terjadinya Periodontitis
Anatomi dari gusi yang berterkstur seperti kulit jeruk apakah masih ada atau sudah berubah menjadi licin.
Perlu diperhatikan juga kondisi gusi apakah lunak dan mudah berdarah.
Pada beberapa kasus yang memiliki kebiasaan buruk merokok, gusi juga akan berubah warna menjadi gelap.
Warna gelap pada gusi tersebut diakibatkan oleh timbunan TAR yang masuk ke dalam pembuluh darah tepi, yang lalu memunculkan warna gelap tersebut.
Presentase terbesar anomali pada gusi adalah gingivitis atau radang gusi akibat keberadaan karang gigi yang kurang disadari.
Perubahan warna baik menjadi lebih gelap maupun lebih pucat bisa mengindikasikan terjadinya sesuatu, baik berupa sesuatu yang sifatnya general atau penyakit umum atau bahkan anomali kekurangan tertentu.
Baca juga: Ketahui Faktor Pencetus Radang Gusi yang Disampaikan Oleh Dr. drg. Munawir Berikut
Misalkan pada mereka yang sedang mengalami anemia, warna gusi akan menjadi lebih pucat.
Sedangkan pada kasus-kasus warna gusi menjadi lebih gelap, harus diketahui terlebih dahulu warnanya seperti apa dan harus diperiksa oleh dokter gigi yang berkompeten.
drg. Anastasia menyampaikan, pada beberapa kasus warna gusi bukan hanya sebatas memudar karena kekurangan substansi tertentu dalam tubuh tetapi karena telah berkembang sesuatu pada gingiva.
Pada pertumbuhan jamur, penyakit-penyakit tertentu bisa memunculkan warna yang lebih pucat dan terdapat sedikit bercak putih.
Termasuk pada warna gusi yang lebih gelap bisa saja karena bad habbit merokok, adanya peradangan atau infeksi yang dipicu oleh kejadian peradangan pada gusi akibat penumpukan karang gigi.
Bahkan terjadinya perubahan warna gusi bisa juga karena kondisi kesehatan gigi yang mengalami gangguan.
Misalkan proses karies yang sudah mencapai area pofundal, persarafan, area pulpa, hingga sampai mengakibatan infeksi lanjut yang lalu proses tersebut berimbas pada kondisi kesehatan jaringan pendukung.
Ini disampaikan pada channel YouTube Tribunnews.com bersama dengan drg. R. Ngt. Anastasia Ririen Pramudyawati. Seorang dokter gigi.
(TribunHealth.com/Putri Pramesti Anggraini)