TRIBUNHEALTH.COM - Gusi merupakan bagian dari rongga mulut yang perlu diperhatikan kesehatannya.
Seringkali kondisi gusi kurang diperhatikan hingga terjadi masalah baru pada rongga mulut.
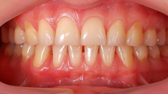
Kondisi gusi yang sehat bisa diketahui dari warnanya yang pink muda tetapi tidak pucat.
Jika kondisi gusi semakin lama akan berwarna lebih gelap dari warna biasaya, maka perlu dilihat anomali tersebut muncul belakangan atau sedari lahir.
Apabila perubahan warna gigi tersebut muncul belakangan, maka perlu diperhatikan apakah hal tersebut terjadi pada seluruh permukaan gusi atau hanya sebagian.
Jika perubahan warna pada gusi hanya sebagian, maka perlu diperhatikan bentuknya, ataukah hanya sebatas warna atau juga terkait konsistensi.

Baca juga: Memasuki Masa Transisi Pandemi, Jubir Covid-19 Ingatkan Masyarakat Tetap Waspada dan Siaga
Anatomi gusi yang berterkstur seperti kulit jeruk apakah masih ada atau sudah berubah menjadi licin.
Perlu diperhatikan juga kondisi gusi apakah lunak dan mudah berdarah.
Pada beberapa kasus yang memiliki kebiasaan buruk seperti merokok, pada gusi juga akan muncul warna gelap.
Warna gelap pada gusi tersebut akibat timbunan TAR yang masuk ke dalam pembuluh darah tepi, yang lalu memunculkan warna tersebut.
Prsentase terbesar anomali pada gusi adalah gingivitis atau radang gusi akibat keberadaan karang gigi yang kurang disadari.
Perubahan warna baik menjadi lebih gelap aaupun lebih pucat bisa mengindikasikan terjadinya sesuatu, baik berupa sesuatu yang sifatnya general atau penyakit umum atau bahkan anomali kekurangan tertentu.
Baca juga: Waspada, Jam Tidur yang Berantakan Mengakibatkan Resiko Penyakit Stroke
Misalkan pada mereka yang sedang mengalami anemia, gusi akan menjadi lenih pucat.
Sedangkan pada kasus-kasus warna gusi menjadi lenih gelap, harus diketahui terlebih dahulu warnanya seperti apa dan harus diperiksa oleh dokter gigi yang berkompeten.
drg. Anastasia menyampaikan, pada beberapa kasus warna gusi bukan hanya sebatas memudar karena kekurangan substansi tertentu dalam tubuh tetapi karen atelah berkembang sesuatu pada ginggiva.
Pada pertumbuhan jamur tertentu, penyakit-penyakit tertentu bisa memunculkan warna yang lebih pucat, dan terdapat sedikit bercak putih.
Termasuk pada warna yang lebih gelap bisa saja karena bad habbit seperti merokok, adanya peradangan atau infeksi yang dipicu oleh kejadian peradangan pada gsui akibat karang gigi.
Baca juga: Ketahui Dampak atau Risiko Terburuk jika Gangguan Bipolar Tidak Bisa Dikendalikan
Bahkan bisa juga karena kondisi kesehatan gigi yang mengalami gangguan.
Misalkan proses karies yang sudah mencapai area pofundal, persarafan, area pulpa, hingga sampai mengakibatan infeksi lanjut yang lalu proses tersebut berimbas pada kondisi kesehatan jaringan pendukung.
Ini disampaikan pada channel YouTube Tribunnews.com bersama dengan drg. R. Ngt. Anastasia Ririen Pramudyawati. Seorang dokter gigi. Jumat (3/9/2021)
(TribunHealth.com/Putri Pramesti Anggraini)