Pertanyaan:
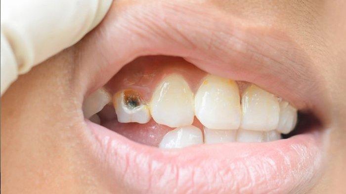
Dok, saya ingin melakukan pemasangan behel namun gigi saya berlubang besar.
Apakah boleh jika memasang behel dalam kondisi tersebut?
Baca juga: Apa Penanganan yang Tepat untuk Gigi Sulung yang Miring, Dok?
Baca juga: Apa Jenis Gigi Palsu yang Tepat Untuk Menggantikan Gigi Saya Yang Ompong, Dok?
Atau harus dicabut atau ditambal dahulu, Dok?
Terima kasih.
Dian, Tinggal di Solo.

Jawaban dokter:
Sebelum melakukan pearawatan behel terlebih dahulu dokter gigi akan melakukan pemeriksaan awal untuk melihat kondisi gigi geligi.
Dan faktor penyebab terjadinya maloklusi dan malposisi pada pasien tersebut.
Apakah diakibatkan karena kelainan dental atau kelainan skeletal.
Baca juga: Dok, Apakah Boleh Mencabut Gigi Lebih dari 5 secara Bersamaan dalam Satu Waktu?
Baca juga: Tips Agar Terhindar dari Gigi Berlubang, Rajin Sikat Gigi hingga Penuhi Asupan Nutrisi
Untuk pemeriksaan kondisi gigi geligi, dokter gigi akan menyarankan terlebih dahulu untuk melakukan perawatan pada gigi geligi yang berlubang.
Apabila lubang gigi belum pernah mengakibat sakit maka akan dilakukan penambalan.
Akan tetapi kalau sudah pernah sakit maka dilakukan perawatan endodontik terlebih dahulu.
(TribunHealth.com/Dhiyanti)
Berita lain tentang kesehatan gigi ada di sini