TRIBUNHEALTH.COM - Berbicara tentag pneumonia, yakni infeksi akut pada paru-paru.
Akut artinya baru terjadi 7 sampai 10 hari.
Perlu diketahui bahwa pneumonia ini tergolong banya penyebabnya, mulai dari infeksi jamur, infesi bakteri dan juga infeksi virus bahkan bisa juga infeksi parasit atau organisme lain.
Pneumonia ini adalah infeksi paru akut yang disebabkan oleh banyak faktor dan banyak pencetusnya.
dr. Andreas mengatakan, sama seperti covid-19 pneumonia adalah suatu hal yang didapat dari inhalasi atau droplet.
Ada orang yang batuk disamping kita, kemudian tertular dari dahaknya.

Baca juga: Vaksin PCV Dicanangkan jadi Imunisasi Rutin Anak, WHO: Guna Lindungi dari Pneumonia
Dari mikroorganisme yang ditularkan tadi akan terjadi infeksi paru-paru dalam waktu 1 sampai 3 hari dari kontak dengan penderita pneumonia.
dr. Andreas juga menyampaikan, penularan penumonia sama seperti covid-19 yakni harus ada penyebab penyenyebaran atau infeksinya.
Dari kuman atau bakteri yang masuk sampai menimbulkan gejala membutuhkan waktu paling cepat sekitar 3 hari sampai hari ke 10 bisa menimbulkan infeksi pneumonia diseseorang.
Yang paling utama adalah disaat seseorang tersebut terkena pneumonia akan mengalami demam, bautk-batuk, merasa sesak, yang paling mudah kita ketahui ialah warna dahak yang tadinya encer tetapi sekarang menjadi kental.
Tak hanya tekstur dahak yang menjadi kental, selain itu dahak yang awalnya berwarna putih berubah menjadi warna hijau.
Baca juga: Apakah Penyakit Pneumonia Bisa Sembuh Total? Berikut Jawaban dari dr. Pad Dilangga, Sp.P
dr. Andreas mengatakan, dahak berwarna hijau atau putih yang kental sedikit kekuningan atau malah keluar darah perlu berhati-hati.
Tanda-tanda pneumonia adalah adanya demam, adanya batuk dan adanya perubahan dahak dari jernih menjadi kental.
Tetapi ada juga pasien yang mengeluhkan sesak nafas atau sakit pada dada.
dr. Andreas mengatakan jika ini tanda-tanda pneumonia yang harus diwaspadai oleh kita sebagai orang awam.
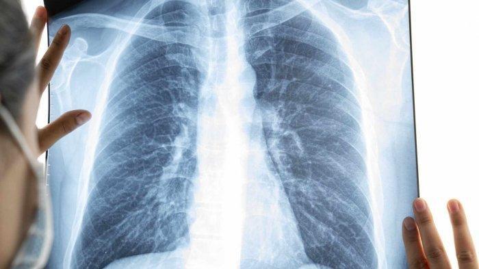
Begitu ada tanda-tanda seperti perubahan yang disebutkan diatas, sebaiknya segera konfirmasi yang paling mudah yakni rontgent.
Setelah dilakukan rontgent, maka akan terlihat adanya pneumonia pada paru-paru.
Ini disampaikan pada channel YouTube Tribun Lampung bersama dengan dr. Andreas Infianto MM Sp.P(K), FISR. Seorang dokter spesialis paru dari Rumah Sakit Advent Bandar Lampung.
(TribunHealth.com/Putri Pramesti Anggraini)