Pertanyaan:
Dok saya mau bertanya terkait gusi berdarah.
Gusi saya berdarah setiap hari itu karena apa ya dok?
Saya merasa tidak nyaman.
Pertanyaan ini disampaikan oleh pemirsa YouTube Kompas Tv @jhenkroroo melalui Jurnalis Elgeen Frydianto dalam tayangan YouTube Kompas Tv program Ayo Sehat (27/05/2021).
Baca juga: Jangan Sepelekan Gusi Berdarah, Kenali Bahayanya
Baca juga: Jangan Abaikan Gusi Berdarah, Bisa Sebabkan Radang Gusi yang Parah
Dokter Menjawab:
Dikutip TribunHealth.com dalam tayangan YouTube Kompas Tv progam Ayo Sehat, Dokter Gigi Spesialis Penyakit Mulut, drg. Sarah Mersil menanggapi pertanyaan tersebut.
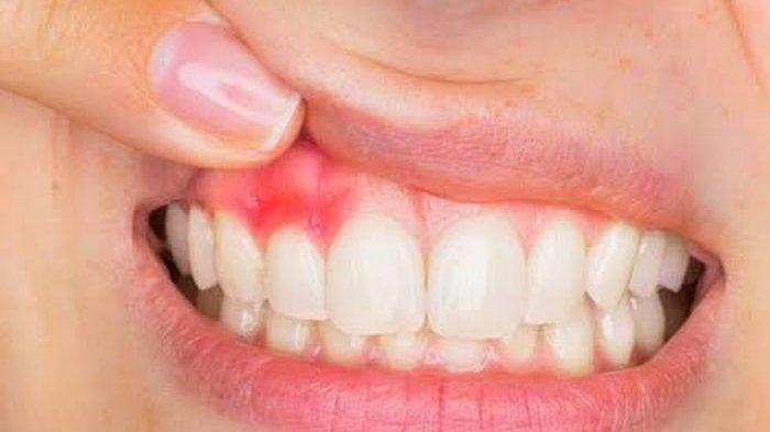
Gusi berdarah bisa disebabkan karena adanya radang gusi.
"Jadi jika ada radang gusi pasti akan ada penumpukan karang gigi."
Hal ini yang akan merusak ikatan antara gusi dengan gigi.
Gusi yang meradang biasanya ada yang berdarah.
Baca juga: Mengenal Berbagai Penyebab Gusi Berdarah pada Anak dan Orang Dewasa, Berbeda?
Baca juga: Apakah Gusi Bengkak bisa Diatasi dengan Menyikat Gigi atau Obat Kumur Dok?
"Jika gusi berdarah terjadi setiap hari sebenarnya hal ini sangat tidak sehat."
"Orang yang mengalami gusi berdarah setiap hari perlu di pertanyakan bagaimana orang tersebut menjaga kebersihan mulutnya."
Ketika gusi berdarah dengan intensitas setiap hari seharusnya segera dibersihkan dan diperiksan mulutnya.

"Kondisi ini akan sangat tidak nyaman dan dapat menyebabkan terjadinya bau mulut."
"Kondisi ini biasanya penderita akan merasakan mulutnya terasa seperti metallic taste atau rasa besi pada mulutnya."
"Karena dari darah itu terdapat kandungan zat besi, jadi yang akan dirasa di lidah adalah rasa besi."
Penjelasan ini disampaikan oleh Dokter Gigi Spesialis Penyakit Mulut, drg. Sarah Mersil dalam tayangan YouTube Kompas Tv progam Ayo Sehat pada 27 Mei 2021.
Baca juga: Pembengkakan Gusi secara Tiba-tiba & Berdarah saat Menyikat Gigi Itu Kenapa Ya Dok?
Baca juga: Dokter Gigi Jelaskan Penyebab Gusi Bengkak dan Bagaimana Penanganan yang Tepat
Baca berita lain seputar kesehatan di sini
(Tribunhealth.com/Irma Rahmasari)